Typische Anlässe
Altersdiagnostik betrifft Konstellationen, in denen das Lebensalter rechtlich erheblich ist und die vorhandenen Unterlagen keine tragfähige Klärung ermöglichen. Das kann die Volljährigkeit betreffen, strafrechtlich relevante Schwellen, jugendstrafrechtliche Einordnungen oder sonstige Verfahren, in denen eine Altersgrenze den rechtlichen Rahmen bestimmt.
Typische Anlässe sind fehlende, widersprüchliche oder nicht ausreichende Altersdokumente, behördliche oder gerichtliche Prüfungen der Volljährigkeit sowie Fragen zur Strafmündigkeit oder zur Einordnung in jugendstrafrechtliche Altersgruppen. Maßgeblich bleibt dabei stets, welche Altersgrenze im konkreten Verfahren rechtlich relevant ist und auf welcher Grundlage einzelne Untersuchungen überhaupt in Betracht kommen.
Ausgangspunkt ist stets eine konkrete Beweisfrage. Die Begutachtung ersetzt keine rechtliche Würdigung, sondern liefert deren fachliche Grundlage. Schon deshalb ist entscheidend, welche Altersgrenze tatsächlich geprüft werden soll und auf welcher rechtlichen Grundlage einzelne Untersuchungen zulässig sind.
Methodischer Rahmen
Die Altersdiagnostik ist stufenweise aufgebaut. Einzelbefunde werden nicht isoliert überhöht, sondern in einer medizinisch-anthropologischen Gesamtschau zusammengeführt. Diese Zurückhaltung ist kein Mangel, sondern methodisch geboten. Gerade Grenzfälle lassen sich nur dann sauber bewerten, wenn Mindestalter, wahrscheinlichstes Alter und Streubreite der Befunde auseinandergehalten werden.
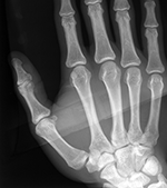
Typische Untersuchungen
Welche Untersuchungen im Einzelfall in Betracht kommen, hängt von Verfahrenslage und Rechtsgrundlage ab. Typisch sind die körperliche Untersuchung, die zahnärztliche Untersuchung einschließlich Orthopantomogramm, die radiologische Begutachtung der Hand und – bei fortgeschrittener Reife und entsprechender Fragestellung – ergänzende Befunde am Schlüsselbein. Entscheidend ist die geordnete Zusammenschau; ein isoliert herausgegriffener Einzelbefund trägt die Aussage nicht. Die Aussagekraft entsteht daher nicht aus einem Einzelbild oder einem einzelnen Reifemerkmal, sondern aus der methodisch begründeten Verknüpfung der zulässigen Befunde.



Gutachterliche Aussage
Im Gutachten steht nicht eine scheinbar exakte Jahreszahl im Vordergrund. Maßgeblich ist vielmehr die Aussage zu einer rechtlich relevanten Altersgrenze. Eine saubere Begutachtung macht sichtbar, was der Befund trägt, was er nur wahrscheinlich macht und wo Unsicherheit verbleibt. Gerade diese diagnostische Zurückhaltung erhöht die Verwertbarkeit im Verfahren. Die Begutachtung ersetzt keine rechtliche Würdigung, sondern liefert die fachliche Grundlage für die Prüfung, ob eine bestimmte Altersgrenze überschritten ist. Für die Praxis ist dabei wichtig, dass Mindestalter, wahrscheinlichstes Alter und diagnostische Unsicherheit sprachlich sauber voneinander getrennt werden.
Praktische Bedeutung
Für Auftraggeber ist die Altersdiagnostik vor allem dann hilfreich, wenn die Altersgrenze klar benannt werden kann und bereits ersichtlich ist, welche Unterlagen oder Vorbefunde vorliegen. Das betrifft medizinische Dokumente, bereits angefertigte Bilder, behördliche Unterlagen und Angaben zur bisherigen Verfahrenslage.
So lässt sich früh klären, ob eine erste Einordnung auf Aktenbasis genügt, ob eine vollständige Untersuchung in Betracht kommt oder ob einzelne Untersuchungen aus rechtlichen oder sachlichen Gründen ausscheiden.
Erstanfrage
Für eine erste Einschätzung sind meist die konkret relevante Altersgrenze, der Verfahrenskontext und eine knappe Übersicht über bereits vorhandene Unterlagen ausreichend. Hilfreich ist außerdem die Information, auf welcher Rechtsgrundlage weitere Untersuchungen erfolgen sollen.